Avascular Necrosis of The Knee

Avascular Necrosis of the Knee: Loss of Blood Supply That May Lead to Bone Damage

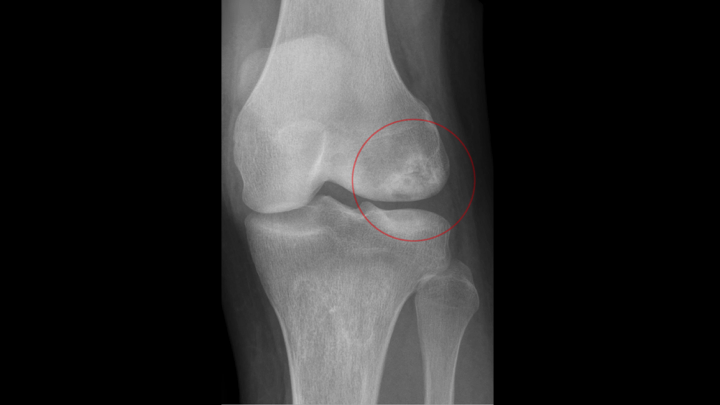
Avascular necrosis (AVN) of the knee, also known as osteonecrosis, is a condition that occurs when the blood supply to a section of bone in the knee joint is disrupted. This lack of blood flow can cause the affected bone to weaken, collapse, and eventually lead to joint damage. AVN most commonly affects the ends of bones in weight-bearing joints like the knee, and early diagnosis and treatment are important for preserving joint function and preventing further damage.

What Is Avascular Necrosis Of The Knee?

Avascular necrosis occurs when a lack of blood supply causes the death of bone tissue. In the knee, AVN typically affects the femoral condyles (the rounded ends of the thighbone) or the tibial plateau (top of the shinbone). As the bone weakens, the overlying cartilage may also become damaged, leading to pain, stiffness, and reduced knee function. AVN can progress over time, potentially causing arthritis or severe joint deterioration.

Causes Of Avascular Necrosis

The exact cause of AVN may vary, but it typically occurs when blood flow to the bone is interrupted. Common causes include:

  • Trauma: Injuries such as fractures or dislocations that disrupt blood vessels.
  • Steroid Use: Long-term or high-dose use of corticosteroids, which may affect blood flow.
  • Alcohol Consumption: Excessive alcohol intake can interfere with the body’s ability to maintain healthy blood flow to bones.
  • Medical Conditions: Certain conditions, such as sickle cell disease, lupus, or blood clotting disorders, can increase the risk of AVN.
  • Radiation Therapy: Previous radiation treatment for cancer may affect blood flow to the bone.

Symptoms Of Avascular Necrosis

Symptoms of AVN often develop gradually and may include:

  • Pain in the knee, which may be localised or radiate to surrounding areas.
  • Swelling or tenderness around the joint.
  • Stiffness or reduced range of motion.
  • Difficulty bearing weight or a limp when walking.
  • A feeling of instability in the knee.

In the early stages, AVN may not cause noticeable symptoms, but as the condition progresses, pain and joint dysfunction typically worsen.

Risk Factors For Avascular Necrosis

Certain factors may increase the likelihood of developing AVN, including:

  • Age: AVN can affect people of any age but is more common in individuals between the ages of 30 and 50.
  • Trauma: Previous knee injuries, such as fractures or ligament tears.
  • Chronic Conditions: Medical conditions that affect blood flow, such as diabetes or vascular disease.
  • Medications: Long-term use of corticosteroids or chemotherapy drugs.
  • Lifestyle Factors: Excessive alcohol consumption or smoking, which can impair blood circulation.

Treatment Options For Avascular Necrosis Of The Knee

Treatment for AVN depends on the stage of the condition, the extent of bone damage, and the patient’s overall health and activity goals. Options include:

Non-Surgical Treatments

  • Medications: Pain relievers and anti-inflammatory medications may help manage symptoms.
  • Physiotherapy: Strengthening and stretching exercises to improve knee function and reduce stress on the joint.
  • Activity Modification: Avoiding high-impact activities to prevent further bone damage.
  • Bracing or Assistive Devices: Knee braces or walking aids to reduce pressure on the affected joint.

Surgical Treatments

Surgery may be recommended for advanced stages of AVN or when non-surgical treatments are ineffective:

  • Core Decompression: Removing a portion of the bone to relieve pressure and promote the growth of new blood vessels.
  • Bone Grafting: Transplanting healthy bone tissue to support the affected area.
  • Osteotomy: Realigning the joint to redistribute weight and reduce stress on the damaged bone.
  • Knee Replacement Surgery: In cases of severe joint damage, partial or total knee replacement may be necessary to restore function.

Dr. Scott Tulloch will assess your condition and recommend the most appropriate treatment based on your individual needs.

When Should You Seek Help For Avascular Necrosis?

You should consider seeking medical advice if:

  • You experience persistent knee pain, swelling, or stiffness.
  • Your symptoms worsen despite rest or other non-surgical treatments.
  • You have a history of risk factors, such as trauma or long-term steroid use.

Early diagnosis and treatment may help slow the progression of AVN and improve outcomes.

If you would like to learn more about avascular necrosis of the knee or discuss your treatment options, book an appointment with Dr. Scott Tulloch at the Victorian Orthopaedic Group.