Patellar Tendon Rupture

Patellar Tendon Rupture: A Knee Injury That May Affect Movement and Stability

A patellar tendon rupture is a serious injury affecting the tendon that connects the kneecap (patella) to the shinbone (tibia). This tendon plays a vital role in straightening the leg and stabilising the knee joint during activities such as walking, running, and jumping. A rupture can significantly impair mobility, making it difficult or impossible to straighten the knee or bear weight on the affected leg. Prompt diagnosis and treatment are essential to restore knee function and prevent long-term complications.

What Is A Patellar Tendon Rupture?

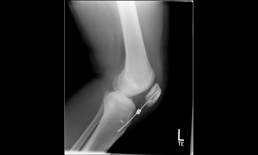
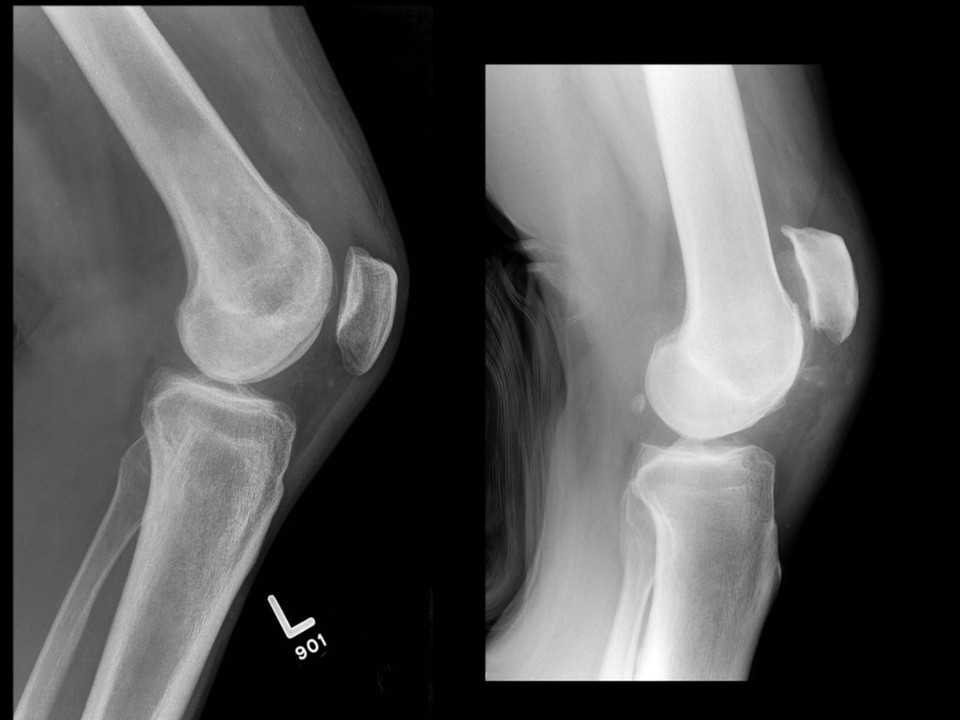
A patellar tendon rupture occurs when the tendon connecting the patella to the tibia is torn. This can be a partial tear, where some tendon fibres remain intact, or a complete rupture, where the tendon is entirely severed. A complete rupture typically requires surgical intervention to reattach the tendon and restore full knee function.

Patellar tendon ruptures are most common in active individuals or those with underlying conditions that weaken the tendon.

Causes Of Patellar Tendon Ruptures

Patellar tendon ruptures are typically caused by excessive stress or trauma to the knee. Common causes include:

  • Sudden Force: A forceful impact or awkward landing during sports or physical activities.
  • Direct Trauma: A blow to the front of the knee, such as in a fall or car accident.
  • Overuse or Chronic Strain: Repeated stress on the tendon from activities like running, jumping, or heavy lifting.
  • Degenerative Changes: Age-related wear and tear that weakens the tendon over time.

Symptoms Of Patellar Tendon Ruptures

Symptoms of a patellar tendon rupture can vary depending on the severity of the injury but may include:

  • Sudden, severe pain in the front of the knee.
  • Swelling and tenderness below the kneecap.
  • Difficulty or inability to straighten the leg.
  • A visible gap or indentation below the kneecap.
  • A popping or snapping sensation at the time of injury.
  • Inability to bear weight on the affected leg.

If you experience these symptoms, seeking immediate medical attention is essential.

Risk Factors For Patellar Tendon Ruptures

Certain factors may increase the likelihood of a patellar tendon rupture, including:

  • Age: Middle-aged adults and older individuals are more prone to tendon injuries due to degenerative changes.
  • Sports Participation: Activities involving jumping, running, or sudden changes in direction.
  • Chronic Conditions: Medical conditions such as diabetes, rheumatoid arthritis, or kidney disease that affect tendon health.
  • Medications: Long-term use of corticosteroids or certain antibiotics that may weaken tendons.
  • Previous Injuries: A history of patellar tendon injuries or surgeries.

Treatment Options For Patellar Tendon Ruptures

Treatment for a patellar tendon rupture depends on the severity of the injury, the patient’s activity level, and overall health. Options include:

Non-Surgical Treatments

  • Rest and Immobilisation: Using a brace or cast to stabilise the knee in cases of partial tears.
  • Physiotherapy: A rehabilitation program to restore strength, flexibility, and range of motion in the knee.
  • Pain Management: Medications to reduce pain and inflammation during the healing process.

Surgical Treatments

Surgery is often required for complete ruptures to reattach the tendon to the kneecap and restore function:

  • Tendon Repair Surgery: Suturing the torn tendon to the kneecap using anchors or stitches.
  • Rehabilitation Following Surgery: A structured physiotherapy program to regain strength and mobility after surgery.

Dr. Scott Tulloch will assess your condition and recommend the most appropriate treatment based on your specific needs and goals.

When Should You Seek Help For A Patellar Tendon Rupture?

You should seek immediate medical attention if:

  • You experience severe knee pain and swelling following trauma.
  • You are unable to straighten your leg or bear weight on the affected knee.
  • You notice a visible gap or indentation below the kneecap.

Prompt diagnosis and treatment are essential to achieving the best possible outcome and preventing long-term complications.

If you would like to learn more about patellar tendon ruptures or discuss your treatment options, book an appointment with Dr. Scott Tulloch at the Victorian Orthopaedic Group.